如果说青春有表情,那笑容一定是最美的。青春期的我们总是希望把最美的留给大家,用微笑武装自己的坚强,让自信的笑容在青春里发芽,也是麦芽口腔一直坚守的美好愿望。麦芽口腔成立至今已悄然走过3个年头,成功助力数以万计的牙齿畸形患者排齐牙齿,重拾自信笑容,赢得了湾区市民广泛赞誉。

牙齿畸形毁自信
冠军也有牙齿小烦恼
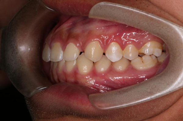
18岁的我们也许刚刚褪去稚气,踏入向往已久的大学生活,而18岁的张俊斌则凭借日渐高超的高尔夫球技,斩获冠军奖牌,被称为中国高尔夫界的“未来之星”,前途不可限量。可谁也没想到,一个看似不起眼的牙齿稀疏,竞差点毁掉了张俊斌卫冕冠军的职业梦想。

正值青春期的孩子大多爱美又敏感,据相关数据统计,牙齿畸形严重影响了青少年的心理健康成长,研究表明,80%的牙齿畸形患者不愿露齿微笑,甚至不愿在公共场合与人交谈对话;50%的牙齿畸形患者尽量避免日常的人际往来,不愿参加聚会等各类社交活动;还有32%的牙齿畸形患者会产生自卑感,孤僻自闭,这种性格缺陷甚至会相伴孩子一生。

同样患有牙齿畸形的张俊斌也有了自己的小烦恼,牙齿稀疏让自己的牙缝看起来格外的大,有时露出浅浅的微笑都会让他人注意到自己的牙齿缺陷,这让正值青春期的张俊斌变得越来越沉闷、不爱说话,也开始抗拒与队友、教练之间的沟通交流,这不仅不利于整个团队的球技切磋、合作共进,也对张俊斌个人造成了极大的心理压力,影响其健康成长。

专业,值得信赖
矫牙,美丽人生
得知麦芽口腔是深圳率先成立数字化口腔正畸科室的专业机构,在深圳二院原口腔科主任、麦芽口腔品牌连锁总院长郑苍尚教授的带领下,还成立了一支由“教授、博士、博士后、硕士”为核心的硕博专家团队,不仅配备了前沿的诊疗设备,还拥有资深的正畸专家,这让焦虑的张爸爸一下看到了解决方法,下定决定要让儿子在麦芽口腔矫正牙齿,重拾信心。

考虑到18岁的张俊斌对外貌美观有着一定的要求,在进行了详细、精密的口腔检查后,麦芽口腔硕博专家团为其量身定制了当下备受推崇的隐形正畸的矫牙方案。据悉,麦芽隐形矫治器采用无色透明的弹性高分子材料制成,近乎隐形,紧贴牙齿,佩戴舒适,几乎无异物感,可自由摘戴,丝毫不影响刷牙、饮食等日常生活,在悄无声息中就能完成牙齿矫正,备受孙杨、胡歌、小S等明星艺人、时尚潮流人士的青睐!

经过了一年的牙齿矫正,现在的张俊斌逐渐恢复了往日的自信,变得乐于沟通与交流。无论是明星还是普通人,一口整齐白净的牙齿都会给我们的生活带来美好的变化,正值麦芽口腔三周年来临之际,,为把自信的笑容定格在最美的青春,麦芽感恩馈献礼,现在预约报名可享全隐形矫正立减6000的特价优惠,担心矫牙效果不好?麦芽口腔3D口扫低至88元,可提前预知矫牙效果,活动详情可以在线点击咨询亦可拨打我们的热线电话:0755-82339968了解更多。
报名入口:
点这里
活动地址:
罗湖机构:罗湖区深南东路2102号振华大厦顺电左侧(地铁2号线湖贝站C出口)
南山机构:南山区南山大道1153号天源大厦南山派出所旁(地铁11号线南山站A出口)
宝安机构:宝安区前进一路90号万悦格兰云天酒店二楼 (地铁5号线灵芝站B2出口)
数字化口腔种植学科专家组
由深圳二院原口腔科主任、国际种植医师学会院士郑苍尚教授领衔的数字化精确种植学科专家组,在种植领域有丰富的临床经验,获业内人士的广泛好评!
数字化口腔正畸学科专家组
由白明海、吴伯海等毕业于名校的正畸专才领衔,凝聚一批国际资质认证的矫正医师,运用数字化科技将医学与美学完满融合,在矫牙为您重塑美丽笑线和脸型!
数字化美学修复学科专家组
该学科组擅长运用系列数字化软硬件设备,为您精细比色、模拟牙体形态、塑造微笑曲线,将红白美学、咬合关系与缺损修复融为一体。
数字化牙周病学科专家组
由香港大学牙周病学博士李京平领衔的牙周病学科专家组,致力根据个体实际牙周情况设计治疗方案,运用数字化设备带来更为舒适精细的体验。
数字化儿牙治疗学科专家组
依托严格医生注入制度,麦芽打造一批深谙儿童心理与口腔状况的医生团队,致力带来更舒适的看牙体验,让未成年人告别看牙恐惧症,轻松拥有健康好牙。
麦芽口腔连锁·品牌实力升级