我是一名幼儿園的老師,我喜歡孩子的天真可愛,每天和孩子們在一起,讓我時刻保有一顆童心! 但是因為牙齒不齊小朋友有點害怕我,有時候被小朋友天真的問“老師,你的牙齒怎麼是歪的呢?”,這讓我時常陷入尷尬。 內心並不成熟的我貪了小便宜圖了省事,跑到外地的小診所選擇金屬矯牙,也就是大家口中所說的小鋼牙! 然而事實並非我所願,五個月的時間不能適應,主要吃流食。 為了變美我忍了,但當我看到牙骨越來越外突,我當時都懵了,說起我的矯牙過程簡直比唐僧取經還要坎坷!

最後的最後,矯治器,“一半靠醫生,一半靠自己”。 在麥芽我看到很多二次矯正的案例,都是因為沒有戴保持器,我覺得我很聽話,為了美為了自己,醫生說可能要戴個一兩年,後戴的時間會越來越短,後面就應該完全可以脫離了~~想想很划算,矯牙一兩年幸福一輩子,辛苦點又算的了什麼? 矯牙變美我做到了,我預祝更多的寶寶都能有個整齊的牙齒變成美美的自己,人間值得!!!

不說了,直接看效果吧,同樣的牙套,曾經選擇錯誤的醫生讓我不適應,而麥芽醫生把我的臉型都整好看了,這就是差距!! 別看同樣的產品,不同的醫生使用效果是不一樣的,千萬不要像我一樣,更不要比價格什麼的,牙套就那幾款,但是下次讓我第一次選擇的時候我一定會先看效果再看價格,麥芽的性價比是真的高! 順便洗了個牙,我覺得我以後的牙齒問題可能都會在麥芽了,這裡有一群厲害的醫生,讓我很放心!
幼儿園的小朋友更願意和我親近了,說喜歡何老師上的課,喜歡和何老師玩~~~很多人問我是不是參加了“變形記”,有的人還問我在哪裡整容的,臉型怎麼這麼好卡性格比之前更開朗了! 其實我只是牙齒參加了變形記,矯牙美臉說的就是我了,沒有整容! 一年前有多傷心有多苦惱,今天笑的就有多開心! 未來,我會一直堅持做一名園丁,為更多的小朋友帶去歡樂~~~

摘牙套前最後的一次拍照了,先看看牙,整齊啦! 醫生說等完全排齊後我就直接可以脫掉這些金屬的東西了,想想好開心,吃盤龍蝦獎勵自己~~

欲速則不達! 矯牙按部就班,醫生說我排齊的不錯,就是還有點咬合的問題,不過後期都是慢慢可以調整的,也是很nice了! 另外托槽,皮筋,橡皮鏈這些如果掉了要及時去找醫生黏貼好,如果你等到下次複診再去,那麼這段時間很有可能你的牙正在走彎路。 也就延長你整牙時間了。
相信很多人從網上也好,從別人口中瞭解也好,說整牙出現牙套臉,說的是什麼太陽穴塌陷什麼的,我反正沒有這種症狀了! 像我吧,雖然讓張主任調整了牙齒,但是牙齒上的金屬牙套沒有力那是不可能的,所有我吃飯吃的比較慢,跟正常的飯量一樣。 不過,像那些咀嚼肌的問題我不是很專業,可以問問醫生~~但是提醒寶寶們,吃飯還是要的,身體健康最重要,如果戴牙套連飯都吃不好,那我覺得就是像我一樣要調整了,吃完也要及時清理自己口腔。

“對比第一次矯牙,我的變化還是很明顯的對吧,哈哈,看到側貌的變化,我真的樂壞了!感謝麥芽口腔,側貌的線條真的精緻了很多,之前嘴巴和下頜都外凸,現在都收回去了,比心麥芽口腔。明明是想通過矯正變美,卻因錯誤的選擇而受罪。”
又到了複診時間了,醫生助理來簡訊啦! 比心!! 由於要給孩子們上課,所以讓助理小姐姐調整到週末,孩子們放假的時候,然後幫我預約了醫生的時間,這樣一來,去了不用排隊,有時間還能去東門逛一下! 不耽誤時間是真的,而且又不需要半個月換牙套什麼的,就是沒有人家隱形的牙套美觀倒是真的,但是我不Care!!! 我覺得很多上國中上高中的學生黨選擇金屬的就可以啦,成年人也可以,只要自己覺得OK管別人咋說呢,大可放心好了!

在麥芽矯正後,越來越有底氣,相信一定可以達到我想要的樣子! 在幼儿園,孩子們調皮的說,老師牙齒貼的銀片片,也是真的可愛了~~~雖然戴了金屬牙套,但是自從在麥芽調整後,我的心情也好了很多,時不時的和小朋友露牙笑一下下,然後會耐心的教他們好好刷牙,愛護自己的牙齒~~~

逐漸的我都可以吃一些稍微硬一點的東西了。 麥芽的服務是真的貼心,還有客服打電話來,不同的是,以往印象中的客服都被當成騷擾電話一樣,但是我接到電話的時候,客服小姐姐和溫柔,問我感覺怎麼樣,有問題的話可以直接找他們,心裡真的很感動! 麥芽真的是一家很溫馨的醫院,人情味很濃,當然了我是實事求是的說好就好,想矯牙的仙女們接到電話的時候如實迴響就好了,就是別把人家當騷擾電話哈,嘻嘻~~~
“複診醫生都會貼心提醒,躺在牙椅上的時候,張主任都會用數位化3D口掃給我重新檢測咬合關係,一點點調整,所以矯牙真的是個精細活,如果沒有步入矯牙大軍,很多細節我到今天可能都不清楚。現在牙齒逐漸排齊,臉型也慢慢在改變,好期待改變後的自己!”


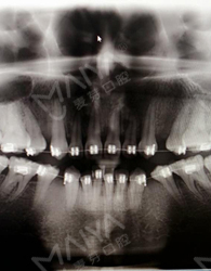
終於又等到週末啦! 這一次作為患者來到麥芽,進門後客服笑盈盈的給我開門,然後填了單子,就有專人帶我去見麥芽的主任了,主任和照片上一樣平易近人,讓我和醫生的距離一下子就拉近了,耐心的聽了我的苦惱。 為了看一下我的牙齒,客服帶著我還拍了片,這是我在之前矯正的時候沒有的環節。 看到電腦上顯示的自己的牙齒,對這種高科技的東西著實驚了一下,相信很多人和我一樣都覺得矯牙就是醫生看一下,就開始戴牙套了,但是這一刻我終於明白了,矯牙並不是你以為,科技設備醫生這些都很重要。
張主任指著片子說,牙齒錯過了最好的矯牙年齡,而且又矯牙失敗,我的屬於疑難矯正了,但是還是可以矯正好的! 然後為了減輕我的痛苦,讓我繼續戴現在的牙套,但是要分階段調整一下,我非常開心感覺牙齒還有救,當天醫生給我調整好之後,牙齒就舒服了很多,我的心情也是多雲轉晴!!!

“發現自己的臉型越發前突之後,我做的第一件事就是找個可靠的口腔機构,重新矯正牙齒,當時滿腦子想的就是,錢已經不重要了,就希望臉型能扭轉過來,滿心後悔自己當初的選擇,强烈呼籲想矯牙的妹子們,別覺得牙齒矯正就只看價格,真的,醫生的科技實在太重要了。鑒於第一次的情况,我重 新選擇機构的時候,特別看重醫生的過往矯牙病例,除此之外,還多方打聽對比看醫院的口碑和規模,最後選擇了麥芽口腔。”

麥芽牙科連鎖·品牌實力陞級