我选择的时代天使双膜的,用医生的话说这就是冠军款,很多运动健儿都在使用的!可以节省37%的时间,真没想到现在的科技都这么发达了!第一次戴牙套感觉还不错,透明美观,摘戴也比较容易!医生还给演示了3D动画,可以看到矫正后的效果~
就像医生说的那样,只要口内状况良好,都可以矫正的,我50多岁还在矫正,年龄怎么可能是问题?!但是也希望有牙齿不齐的市民,早点矫正,花钱也少,如果我知道早晚有一天我会戴牙套我肯定会更早选择的!
我咨询了正畸科的医生,医生看着比较有经验,很耐心的回答了我的很多问题,他跟我说不会越矫越松,矫牙是通过牙槽骨的吸收和重建来移动牙齿,通过复位松动移位牙,改变牙长轴及其受力方向,消除创伤性咬合力,反而有利于牙周组织的恢复和愈合,我本身也是做检验师的,对一些专业的术语还是懂一些的。专业人士的话打消了我的顾虑,对比之下56岁开启自己的矫牙之旅。
检查、拍片,前期的流程还是比较顺利的.....


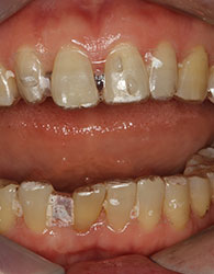
56岁的我牙缝越来越明显,加上牙周炎导致牙龈萎缩,不仅影响形象,还让我很多东西都吃不了。我家姑娘建议我去做个牙齿矫正,一是为了美观,二是为了恢复牙齿的正常咀嚼功能。
到了我这个年纪,其实相比美观,我更关心牙齿的健康。所以我专门询问了给我做牙周系统治疗的口腔许医师,经过半年系统的牙周治疗,我的牙齿酸、涨感都消退了。她建议我:牙周病导致的牙缝过大可以通过正畸来解决,但得经过系统的牙周治疗,等牙周炎症得到控制,且掌握了维护口腔卫生的方法后,才可以戴上矫治器进行治疗,并要定期来复查。许医生说6颗瓷贴面的费用和矫正差不多,我家姑娘让我做矫正,矫牙和贴面,让我有点纠结~~

麥芽牙科連鎖·品牌實力陞級