I am Jack Gramas,也可以叫我郭傑克。 我的母親是希臘人,父親是法國人,他們在加拿大成家,我在加拿大長大,酷愛騎機車,是加拿大的賽車手和賽車場經理人。 在加拿大入冬的180天我會在中國,加拿大暖和的180天我就會回到加拿大去。 十年來,一直如此 。

在希臘的時候,美味的麵包會摻雜著各種各樣的小東西,比如榨的橄欖,很不巧的是,我的牙齒用力咬的時候,牙齒就崩裂,沒了….. 在加拿大看了醫生,但冬天到了,要來中國過冬,由於時間問題在加拿大無法醫治,醫生建議到中國做這個治療,可能需要做種植牙 。

戴完牙冠,無論是顏色還是咀嚼效能方面都和我的真牙一樣,恢復了往日的形象也恢復了原有的咀嚼功能。 種植牙手術的成功,讓我擁有了更加燦爛的笑容。 十年裏我從來沒有在中國去過任何醫院看過任何醫生,但是這次卻在麥芽口腔見識了中國醫生,和中國功夫一樣,very good! 這裡有最棒的環境,而且這裡有最好的醫生!


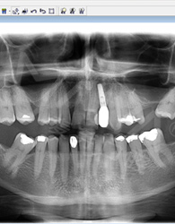
今年的4月18日,我去了第一次複診後,直接飛回了加拿大。 坐飛機過程也沒有什麼不適感,而且有按照鄭院長的要求,一直在好好的呵護我的種植牙。 現在回到中國,手機上顯示客服的複診簡訊提醒,雖然在還未種完牙的情况下,但這絲毫不影響我繼續享用美食。 複診的時候,拍了片子,鄭院長說植入的植體與骨結合不錯,然後給我安裝了癒合基臺,說我有什麼不適的話,都可以過來 。

今天又來複診,癒合基臺無鬆動,可以戴牙冠了,取模也很方便,然後還有比色,一顆種植牙看著只是種牙而已,其實每個環節還是挺細心的,這次複診剛好碰上活動,在此祝福生日快樂,也希望更多的缺牙人能在這裡重拾口福健康!

種牙前先做了檢查,身體狀況允許條件下,去了手術室,牙科的手術室讓我很吃驚,surprise! 中國牙科設備條件真的超乎想像,國際上水准也莫過於此了吧! 然後面部消毒,打麻醉,你們相信我種植牙的時間不超過半個小時嗎? 在牙椅上只有麻醉的時候有些許疼痛,後面完全沒有感覺,而且種完牙後並沒有感覺腫脹,這實在令人太高興了,不得不說現在科技、醫學都讓人驚歎!

鄭院長說,等植體與骨結合後,就可以完成後續的裝牙冠的工作了,我很是期待。

來到深圳,多方尋醫,一個醫生朋友告訴我,這個只有到麥芽找鄭蒼尚院長,他能做。 “我有6個月一直沒有牙齒,我要我的牙齒。”這是我見到鄭院長後說的第一句話,在麥芽流程很順利,經過拍片檢查後,鄭院長說我剩餘殘根反復發炎鬆動,牙槽骨受損嚴重,影響咀嚼功能,只能拔除殘根後需引導骨組織再生,不能一期種牙…. 很專業的詞我不太懂,但是他能處理我就放心了!

在鄭院長的建議下,我選擇了諾貝爾植體,種植牙還需要骨粉骨膜,大致瞭解了種牙的流程,我很滿意。

麥芽牙科連鎖·品牌實力陞級