尴尬的色素牙与人沟通难以自在
影响工作形象业务成交不给力
影响个人气质相亲恋爱第一印象差
由美国皓齿口腔科技公司研发,其专利美白剂弥补传统技术的不足,1小时即可绽放自信亮白的笑容~ 在美国,有超过100万人用它美白牙齿,被称为效果最好的午休美齿项目。[了解更多…]
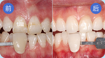
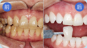
黄牙治疗前后
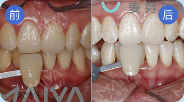
黑牙治疗前后
烟斑牙治疗前后
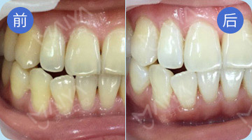
增龄性黄牙治疗前后
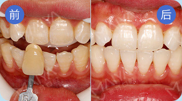
轻度四环素牙前后
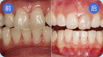
轻度氟斑牙前后
40%浓度的过氧化氢快速置换色素因子,1小时焕白新生
硝酸钾同步生效,避免氧化还原反应造成牙齿酸痛。
氟化物促进牙釉质生成,隔绝色素,3~5年持久亮白。
美白同时穿上“防龋衣”,氟化物有效避免蛀牙。
制定合适方案
促进美白剂渗透
留作对比
守护娇嫩牙龈
基本无不适感
吸走美白剂
与方案进行对比
持久亮白
A:皓齿不用蓝光照射所以不伤牙体,拥有专利美白剂,更舒适、更持久,价格与冷光美白相近,所以皓齿美白无疑更超值。
A:一般色素牙甚至轻度的四环素牙、氟斑牙仅一次就够了,特别严重,要按医生方案进行再次美白,具体情况建议咨询在线客服。
A:一般色素牙,轻度的四环素牙、氟斑牙一次就够,特别严重,要按医生方案进行再次美白,具体情况建议咨询在线客服。
A:临床大多可维持3~5年,与皓齿的专利美白剂有关,比传统蓝光美白有效期更长。建议大家少喝咖啡浓茶,效果更持久~
英国皇室御用美白技术不伤牙体拥有好莱坞白
薄如蝉翼0.2mm厚度遮盖牙色修复形态
洁牙升级防护合一牙结石与菌斑无所遁形
修复美白一步到位亮白耐咬耐磨不易崩瓷
麥芽牙科羅湖機构
麥芽牙科南山機构
麥芽牙科寶安機构
麥芽牙科惠州機构
麥芽牙科福田機构
麥芽龍華醫院
區政府示範組織
種植醫師學會
牙科學院
口腔修復學會
牙周病學會
姚江武教授點贊麥芽碩博團隊
劉寶林教授題詞天涯術業若比鄰
中華口腔會長王興教授題詞
工程院院士邱蔚六為麥芽題詞
劉寶林教授認可麥芽品牌理念
淩均棨教授為麥芽題詞點贊
鄭蒼尚教授獲醫學科學技術獎
鄭蒼尚教授獲市二院管理獎
受邀雅加達保障冠軍微笑
麥芽院長受邀義大利交流訪問
麥芽種植醫師榮獲秀考官