小龋病 • 大危害

Small caries: great harm

世界卫生组织已将龋病与肿瘤和心血管疾病并列为人类三大重点防治疾病,龋齿不会自愈,如果不治疗会引发:

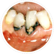
龋病:俗称虫牙、蛀牙
你现在的情况是?

Rickets: commonly known as insects, tooth decay

龋齿治疗, 为什么要做口腔检查

Dental caries treatment, why oral examination?

麦芽提供 口腔检查,仅限网络预约

麦芽辩证施治,解决龋齿蛀牙

Malt dialectical treatment to solve dental caries

  • 牙菌斑、浅龋

    麦芽EMS洁牙

  • 龋洞、牙冠蛀损

    麦芽树脂补牙

  • 牙根疼痛、深度龋齿

    麦芽显微根管治疗

麦芽EMS洁牙将超声波洁牙、喷砂洗牙双重洗牙技术二合一,30分钟给你舒适的体验,清洁口内牙菌斑及其附着的牙结石。
适应症:牙面菌斑、牙结石、
牙周袋病菌毒素清除
去除龋坏的牙齿后,选用树脂材料对牙洞进行填充,麦芽树脂补牙美观耐磨、使用长久、媲美真牙!
适应症:龋洞、牙冠蛀损
通过机械和化学方法去除根管内感染物,通过充填根管、封闭冠部,防止发生根尖周病变或促进发生的根尖周病变的愈合。
适应症:深度龋齿

市医保定点连锁 看牙省心超值

City health insurance fixed point chain, dental care value

作为市医保定点单位、医疗服务质量A级单位,麦芽口腔始终以顾客为中心,优化服务,严抓医疗质量,恪守医疗本质,给顾客省心超值的看牙体验!
即刻预约看牙 · 恢复健康不等待

麦芽连锁品牌推荐专家

Malt chain brand recommendation experts

  • 1对1专家负责制
    最大限度保护患牙

  • 数字化个性方案定制
    针对治疗更省钱

  • 四手无菌安全操作
    避免细菌感染

  • 治疗手法轻柔舒适
    降低痛感与不适

医院的医生可以在线预约吗?
网络预约提供【姓名+手机号+时间】,系统可预先为您挂号,尽可能避免排队,为您节省时间。
龋齿治疗有什么优惠吗?
预约登记可享 拍片、检查与方案设计,具体优惠可在对话框输入查询项目,系统自动回复。
麥芽牙科連鎖·品牌實力陞級
  • 麥芽連鎖
  • 集團榮譽
  • 大咖題詞
  • 專家榮譽