智齿
危害:反复冠周炎、龋坏、牙疼
阻生牙
危害:引起前牙龋坏、牙列歪斜
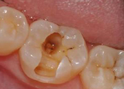
牙体牙髓病
危害:反复牙疼进食困难、夜间难眠
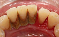
牙齿松动
危害:导致咬合无力、钝痛口臭
多生牙
危害:造成牙齿歪斜与牙齿畸形
其他治疗需要
危害:如矫牙需要拔牙否则易复发
梯度麻醉·降低痛感
介绍:针对不同患者对疼痛的敏感程度,采取麻醉方案
视听改良·消除紧张
介绍:温柔音乐,视觉转移,柔和清香,分散紧张与注意力
先进器械·无感拔牙
介绍:先松动后夹出,“低调”拔牙,告别削、劈、凿、挖
创口微小·不适期短
介绍:拔牙后仅有牙根大小的创口,出血少愈合快、不肿胀
1、患牙位置
磨牙比前牙贵下牙比上牙贵
2、拔牙难度
阻生牙贵于普通牙
3、牙周炎症
拔牙前必须无炎症
麥芽牙科羅湖機构
麥芽牙科南山機构
麥芽牙科寶安機构
麥芽牙科惠州機构
麥芽牙科福田機构
麥芽龍華醫院
區政府示範組織
種植醫師學會
牙科學院
口腔修復學會
牙周病學會
姚江武教授點贊麥芽碩博團隊
劉寶林教授題詞天涯術業若比鄰
中華口腔會長王興教授題詞
工程院院士邱蔚六為麥芽題詞
劉寶林教授認可麥芽品牌理念
淩均棨教授為麥芽題詞點贊
鄭蒼尚教授獲醫學科學技術獎
鄭蒼尚教授獲市二院管理獎
受邀雅加達保障冠軍微笑
麥芽院長受邀義大利交流訪問
麥芽種植醫師榮獲秀考官